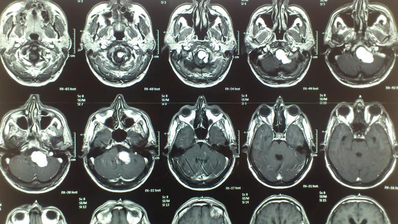
Ασθενής  άνδρας 55 ετών  προσήλθε λόγω αστάθειας βάδισης  και πάρεσης  των κατώτερων εγκεφαλικών συζυγιών  ( ΙΧ,Χ,ΧΙ ). Ο  έλεγχος με μαγνητική τομογραφία εγκεφάλου ανέδειξε εικόνα συμβατή  με μηνιγγίωμα ινιακού τρήματος με σημαντική πίεση επί του στελέχους. Ο ασθενής υποβλήθηκε σε αριστερή  Far Lateral Transcondylar προσπέλαση. Μετεγχειρητικά ο ασθενής παρουσίασε ήπια επιδείνωση της πάρεσης των κατώτερων εγκεφαλικών συζυγιών που ωστόσο αποκαταστάθηκε σταδιακά στα προεγχειρητικά επίπεδα Ο μετεγχειρητικός απεικονιστικός έλεγχος ανέδειξε ολική αφαίρεση του όγκου. 

Περιγραφή video:

  1. Drilling και τμηματική εκτομή του οπίσθιου τόξου του Α1 αφού έχει προηγηθεί η  αριστερή υπινιακή κρανιοτομία.
  2. Drilling της C0-C1 άρθρωσης ( transcondylar approach )
  3. Διάνοιξη ης σκληράς μήνιγγας και  της cisterna magna.
  4. Παρασκευή του αραχνοειδούς πλάνου του μηνιγγιώματος. Παρασκευή και διαφύλαξη μετά από επιβεβαίωση με νευροδιεγέρτη της ΧIης συζυγίας . Debulking με CUSA.
  5. Αναγνώριση της αριστερής σπονδυλικής αρτηρίας . Παρασκευή και διαφύλαξη της αριστερής PICA.
  6. Αναγνώριση των κατώτερων εγκεφαλικών συζυγιών  παρεκτοπισμένων επί τα έσω και κεφαλικά του όγκου πριν την είσοδό τους στο σφαγιτιδικό τρήμα.
  7. Παρασκευή της αριστερής σπονδυλικής αρτηρίας μέχρι την συμβολή της με την δεξιά  σπονδυλική αρτηρία και την μετάπτωσή τους στην βασική αρτηρία ( Vertebrobasilar junction ).
  8.  Διαφύλαξη των κατώτερων εγκεφαλικών συζυγιών.
  9. Τελευταία στάδια αφαίρεσης του όγκου και αποκάλυψη των σπονδυλικών αρτηριών , της βασικής αρτηρίας , της αριστερής πλάγιας και πρόσθιας επιφάνειας του στελέχους και των κατώτερων εγκεφαλικών συζυγιών. Αναγνωρίζονται 2 clips σε τροφοφόρα αγγεία του όγκου από την αριστερή σπονδυλική αρτηρία.

 

Προεγχειρητικός απεικονιστικός έλεγχος

Μετεγχειρητικός απεικονιστικός έλεγχος

Όλες οι παθήσεις
Χειρουργικά Πεπραγμένα 2024
Περισσότερα +

Χειρουργικά Πεπραγμένα 2024

13/1/2025

Το έτος 2024 πραγματοποιήθηκαν στην κλινική μας 1276&nb...

Νευροχειρουργική Κλινική ΓΝΑ Γ. Γεννηματάς

Όλοι εμείς, ιατροί, νοσηλευτές και βοηθητικό προσωπικό, με ιδιαίτερο αίσθημα ευθύνης, καθημερινά δίνουμε τον καλύτερο εαυτό μας, για να μπορέσουμε να κάνουμε τη ζωή των ασθενών μας πιο ποιοτική και κυρίως ελπιδοφόρα!

Εφημερίες

  • Η Νευροχειρουργική κλινική εφημερεύει καθημερινά 08.00 με 14.30 (εκτός από την επόμενη γενικής εφημερίας) ενώ κάθε τέσσερις ημέρες έχει γενική εφημερία.
  • Λειτουργούν τακτικά εξωτερικά νευροχειρουργικά ιατρεία κάθε Τρίτη και  Πέμπτη 11.30 με 14.00 τηλ.: 1535
  • Λειτουργούν απογευματινά εξωτερικά Ιατρεία με ραντεβού τηλ.: 213 2033600

Επικοινωνία

  • Νευροχειρουργική Κλινική
    ΓΝΑ Γ. Γεννηματάς

  • Λεωφόρος Μεσογείων 154
    Χολαργός
    ΤΚ 11527

  • +30 213 2032364

  • nevroxeirourgiki_clinic@gna-gennimatas.gr

Στο χάρτη

Powered by: PowerSite.gr

© 2026 Νευροχειρουργική Κλινική ΓΝΑ «Γ. Γεννηματάς»