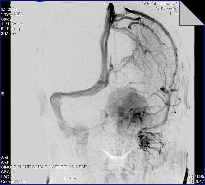
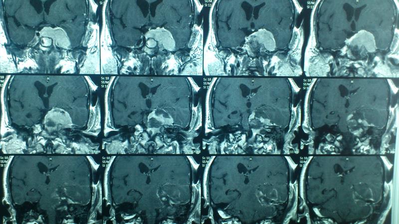
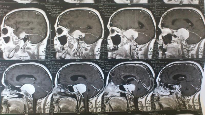
Ασθενής γυναίκα ηλικίας 56 ετών προσήλθε λόγω αστάθειας βάδισης, έκπτωσης ακουστικής οξύτητας αριστερά, αιμωδιών προσώπου κατανομής V2-V3 αριστερά και διπλωπίας ( ήπια πάρεση κοινού κινητικού ) . Ο προεγχειρητικός απεικονιστικός με μαγνητική τομογραφία εγκεφάλου ανέδειξε εικόνα συμβατή με μηνιγγίωμα αποκλίματος και λιθοειδούς ( petroclival ) , με επέκταση στο Meckel's cave και στον αριστερό σηραγγώδη κόλπο καθ' όλη την έκτασή του. Λόγω μεγάλου μεγέθους και έκτασης του μηνιγγιώματος αποφασίστηκε η αφαίρεσή του σε 2 στάδια. H προεγχειρητική αγγειογραφία ανέδειξε  υπολειπόμενο τον αριστερό εγκάρσιο κόλπο με έντονο παράπλευρο δίκτυο  με δυνατότητα εκτομής  του (transsinus ), αποφεύγοντας τις διαλιθοειδικές προσπελάσεις και την συνοδό νοσηρότητά τους. Η ασθενής είχε ομαλή μετεγχειρητική πορεία με βελτίωση της αστάθειας βάδισης και της ακουστικής οξύτητας. Ο μετεγχειρητικός απεικονιστικός έλεγχος ανέδειξε αφαίρεση του τμήματος του όγκου στον οπίσθιο κρανιακό βόθρο.

Περιγραφή video:

  1. Ήπια έλξη αριστερού  παρεγκεφαλιδικού ημισφαιρίου με αποκάλυψη και αναγνώριση V, VII,VIII συζυγιών και της κάψας του όγκου. Χρήση νευροδιεγέρτη. Αρχικό Debulking  του όγκου με CUSA.
  2. Παρασκευή και τοποθέτηση clip στον εγκάρσιο κόλπο. Καθετηριασμός και  σύνδεση σε transducer χωρίς μεταβολή της πίεσης και με διατήρηση ομαλών διεγχειρητικών συνθηκών. Τοποθέτηση περαιτέρω clip  και απολίνωση του εγκάρσιου κόλπου. Διατομή του κόλπου και εν συνεχεία του σκηνιδίου με τελικό αποτέλεσμα την ενοποίηση του οπίσθιου και μέσου κρανιακού βόθρου.
  3. Debulking και παρασκευή των αραχνοειδών πλάνων του όγκου μεταξύ V και VII,VIII συζυγιών.
  4. Παρασκευή και διατομή της οροφής της εισόδου στο Meckel  αποσυμπιέζοντας το Τρίδυμο Νεύρο.
  5. Αναγνώριση και  παρασκευή αποπλατυσμένου κοινού κινητικού νεύρου.
  6. Αφαίρεση του τμήματος του μηνιγγιώματος στον οπίσθιο κρανιακό βόθρο.

Προεγχειρητικός απεικονιστικός έλεγχος

Μετεγχειρητικός απεικονιστικός έλεγχος

Όλες οι παθήσεις
Χειρουργικά Πεπραγμένα 2024
Περισσότερα +

Χειρουργικά Πεπραγμένα 2024

13/1/2025

Το έτος 2024 πραγματοποιήθηκαν στην κλινική μας 1276&nb...

Νευροχειρουργική Κλινική ΓΝΑ Γ. Γεννηματάς

Όλοι εμείς, ιατροί, νοσηλευτές και βοηθητικό προσωπικό, με ιδιαίτερο αίσθημα ευθύνης, καθημερινά δίνουμε τον καλύτερο εαυτό μας, για να μπορέσουμε να κάνουμε τη ζωή των ασθενών μας πιο ποιοτική και κυρίως ελπιδοφόρα!

Εφημερίες

  • Η Νευροχειρουργική κλινική εφημερεύει καθημερινά 08.00 με 14.30 (εκτός από την επόμενη γενικής εφημερίας) ενώ κάθε τέσσερις ημέρες έχει γενική εφημερία.
  • Λειτουργούν τακτικά εξωτερικά νευροχειρουργικά ιατρεία κάθε Τρίτη και  Πέμπτη 11.30 με 14.00 τηλ.: 1535
  • Λειτουργούν απογευματινά εξωτερικά Ιατρεία με ραντεβού τηλ.: 213 2033600

Επικοινωνία

  • Νευροχειρουργική Κλινική
    ΓΝΑ Γ. Γεννηματάς

  • Λεωφόρος Μεσογείων 154
    Χολαργός
    ΤΚ 11527

  • +30 213 2032364

  • nevroxeirourgiki_clinic@gna-gennimatas.gr

Στο χάρτη

Powered by: PowerSite.gr

© 2026 Νευροχειρουργική Κλινική ΓΝΑ «Γ. Γεννηματάς»