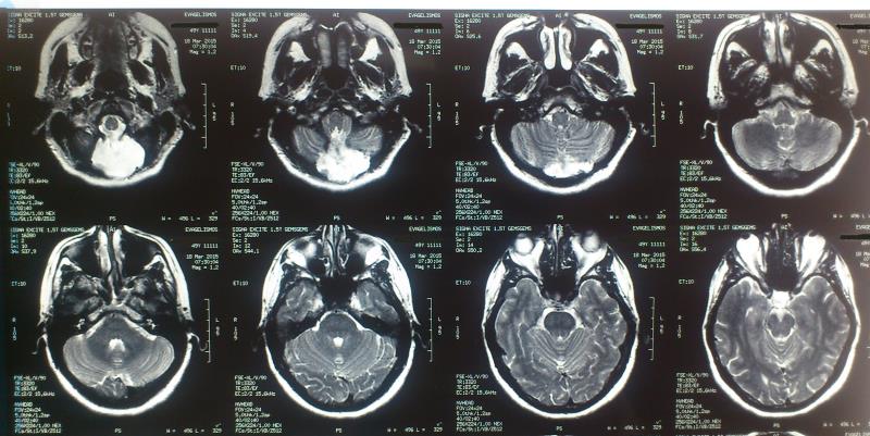
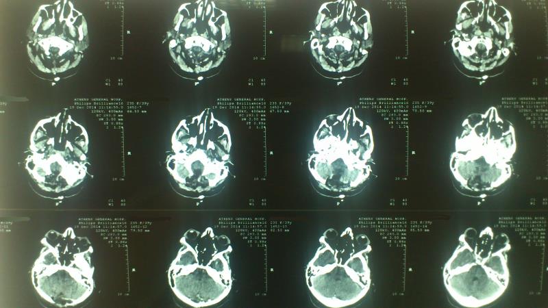
Ασθενής  γυναίκα 49 ετών προσήλθε λόγω υπινιακής κεφαλαλγίας εκλυόμενης και επιδεινούμενης  κατά την επίκυψη και  την άρση βάρους  ( Valsalva maneuvers ) με συνοδό αίσθημα αιμωδιών  άνω και κάτω άκρων. Ο προεγχειρητικός έλεγχος με μαγνητική τομογραφία  του κρανιοσπονδυλικού άξονα ανέδειξε εικόνα συμβατή με Chiari τύπου I : κατάσπαση των παρεγκεφαλιδικών αμυγδαλών 8 mm με κατάληψη- συμφόρηση του ινιακού τρήματος και συνοδό συριγγομυελία καθ’ όλο το μήκος του αυχενοθωρακικου μυελού. Η ασθενής υποβλήθηκε σε υπινιακή κρανιοτομία, αφαίρεση του οπίσθιου τόξου του άτλαντα (Α1) και εκτομή των παρεγκεφαλιδικών αμυγδαλών αποκαθιστώντας την υδροδυναμική του εγκεφαλονωτιαίου υγρού. Πραγματοποιήθηκε πλαστική σκληράς μήνιγγος και δεν επανατοποθετήθηκε ο οστικός κρημνός. Η ασθενής μετεγχειρητικά παρουσίασε  πλήρη ύφεση της κεφαλαλγίας και σταδιακή αποκατάσταση των αιμωδιών. Ο μετεγχειρητικός απεικονιστικός έλεγχος ανέδειξε την αποσυμπίεση στο επίπεδο της κρανιοσπονδυλικής συμβολής και σαφή μείωση των διαστάσεων της συριγγομυελίας.

Περιγραφή video:

  1. Ολοκλήρωση της υπινιακής κρανιοτομίας και εκτομή του οπισθίου τόξου του Α1.
  2. Διάνοιξη σκληράς μήνιγγας και αραχνοειδούς της μέγιστης δεξαμενής με έξοδο ΕΝΥ υπό μεγάλη πίεση. Διάνοιξη σκληράς δίκην Y.
  3. Διάνοιξη αραχνοειδούς και αναγνώριση παρεγκεφαλιδικών αμυγδαλών κατασπασμένων μέχρι το επίπεδο του άξονα ( Α2 ).
  4. Παρασκευή του αραχνοειδούς πλάνου των αμυγδαλών.Με χρήση αναρρόφησης και CUSA εκτελείται με υποχοριοειδική τεχνική (subpially) εκτομή αρχικώς της δεξιάς  και εν συνεχεία της αριστερής αμυγδαλής παρασκευάζοντας και διατηρώντας τις PICA αμφοτερόπλευρα.
  5. Αναγνώριση εδάφους 4ης κοιλίας :  obex, τρίγωνο υπογλωσσίου και πνευμονογαστρικού , stria medullaris , facial colliculus.
  6. Ολοκλήρωση  αποσυμπίεσης της κρανιοαυχενικής συμβολής και αποκατάσταση της υδροδυναμικής του ΕΝΥ.

Προεγχειρητικός απεικονιστικός έλεγχος

Μετεγχειρητικός απεικονιστικός έλεγχος

Όλες οι παθήσεις
Χειρουργικά Πεπραγμένα 2024
Περισσότερα +

Χειρουργικά Πεπραγμένα 2024

13/1/2025

Το έτος 2024 πραγματοποιήθηκαν στην κλινική μας 1276&nb...

Νευροχειρουργική Κλινική ΓΝΑ Γ. Γεννηματάς

Όλοι εμείς, ιατροί, νοσηλευτές και βοηθητικό προσωπικό, με ιδιαίτερο αίσθημα ευθύνης, καθημερινά δίνουμε τον καλύτερο εαυτό μας, για να μπορέσουμε να κάνουμε τη ζωή των ασθενών μας πιο ποιοτική και κυρίως ελπιδοφόρα!

Εφημερίες

  • Η Νευροχειρουργική κλινική εφημερεύει καθημερινά 08.00 με 14.30 (εκτός από την επόμενη γενικής εφημερίας) ενώ κάθε τέσσερις ημέρες έχει γενική εφημερία.
  • Λειτουργούν τακτικά εξωτερικά νευροχειρουργικά ιατρεία κάθε Τρίτη και  Πέμπτη 11.30 με 14.00 τηλ.: 1535
  • Λειτουργούν απογευματινά εξωτερικά Ιατρεία με ραντεβού τηλ.: 213 2033600

Επικοινωνία

  • Νευροχειρουργική Κλινική
    ΓΝΑ Γ. Γεννηματάς

  • Λεωφόρος Μεσογείων 154
    Χολαργός
    ΤΚ 11527

  • +30 213 2032364

  • nevroxeirourgiki_clinic@gna-gennimatas.gr

Στο χάρτη

Powered by: PowerSite.gr

© 2026 Νευροχειρουργική Κλινική ΓΝΑ «Γ. Γεννηματάς»