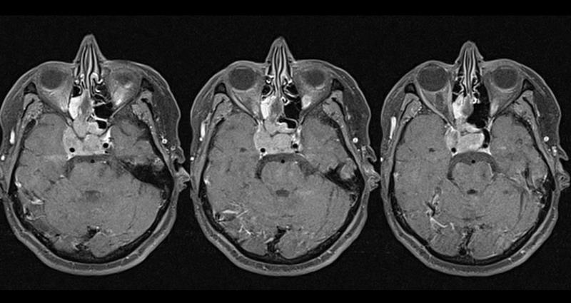
Ασθενής  γυναίκα  64 ετών, προσήλθε με έντονο άλγος στην περιοχή της κάτω γνάθου, ρινική συμφόρηση και επεισόδια επίσταξης , αιμωδίες και υπαισθησία δεξιού ημιπροσώπου κατανομής V1 και V2 και πλήρη οφθαλμοπληγία  δεξιά. O απεικονιστικός έλεγχος με μαγνητική τομογραφία εγκεφάλου  ανέδειξε εξωπαρεγχυματική εξεργασία η οποία διηθεί και καταλαμβάνει το δεξιό σηραγγώδη κόλπο, τον σφηνοειδή κόλπο, τις δεξιές ηθμοειδείς κυψέλες και   την δεξιά άνω και μέση ρινική κόγχη και επεκτείνεται προς τα αριστερά έως και τον αριστερό σηραγγώδη κόλπο. Η ασθενής υποβλήθηκε σε  συνδυασμένη ενδοσκοπικά υποβοηθούμενη   διαβασική  (transbasal) και δια του σηραγγώδους ( transcavernous ) τροποποιημένη κογχοζυγωματική (modified orbitozygomatic) εξωσκληρίδιο προσπέλαση και αφαίρεση του όγκου η ιστολογική εξέταση του οποίου ανέδειξε αδενοκαρκίνωμα.  Η μετεγχειρητική πορεία της ασθενούς ήταν ομαλή και εν συνεχεία παραπέμφθηκε για περαιτέρω ογκολογική και ακτινοθεραπευτική αντιμετώπιση.

Περιγραφή video:

  1. Ολοκλήρωση  δεξιάς κογχοζυγωματικής κρανιοτομίας  με επέκταση  πέραν της μέσης γραμμής ( αποκάλυψη μετωπιαίων κόλπων) και ανάσπαση οροφής και έξω τοιχώματος δεξιού κόγχου σε 2ο οστικό κρημνό.
  2. Unroofing  του υπερκογχίου σχίσματος, διαθερμοπηξία του MOB (meningoorbital band ) και διατομή αυτού.
  3. Drilling ( hollowing ) της πρόσθιας κλινοειδούς απόφυσης, αφαίρεση αυτής και αποκάλυψη του οπτικού  νεύρου , της carotidoocculomotor membrane και του κλινοειδικού τμήματος της έσω καρωτίδας.
  4. Έλξη  προς τα πίσω της dura propria του κροταφικού λοβού και αποκάλυψη του έξω τοιχώματος του δεξιού σηραγγώδους κόλπου. ( διακρίνονται οι III, IV και V1 συζυγίες).
  5. Αφαίρεση του όγκου με χρήση CUSA  από το anteromedial τρίγωνο (V1-V2)  και με χρήση Doppler αναγνωρίζεται η σηραγγώδη μοίρα της έσω καρωτίδας  η οποία  και παρασκευάζεται.
  6. Drilling στο anteromedial triangle, αποκάλυψη του βλεννογόνου του σφηνοειδούς κόλπου , είσοδος στον σφηνοειδή κόλπο και αφαίρεση όγκου με το CUSA.
  7. Ηθμοειδεκτομή , αφαίρεση της οροφής της δεξιάς ρινικής κοιλότητας και en bloc αφαίρεση του όγκου.
  8. Με το ενδοσκόπιο 0º  είσοδος   διαβασικά έλεγχος ελεύθερης ρινικής κοιλότητας , έλεγχος σφηνοειδή κόλπου. Στη συνέχεια είσοδος ενδοσκοπίου από το V1-V2 τρίγωνο στον σφηνοειδή κόλπο και αναγνώριση της αναρρόφησης  που εισάγεται διαβασικά (transbasal).

Προεγχειρητικός απεικονιστικός έλεγχος

Μετεγχειρητικός απεικονιστικός έλεγχος

Όλες οι παθήσεις
Χειρουργικά Πεπραγμένα 2024
Περισσότερα +

Χειρουργικά Πεπραγμένα 2024

13/1/2025

Το έτος 2024 πραγματοποιήθηκαν στην κλινική μας 1276&nb...

Νευροχειρουργική Κλινική ΓΝΑ Γ. Γεννηματάς

Όλοι εμείς, ιατροί, νοσηλευτές και βοηθητικό προσωπικό, με ιδιαίτερο αίσθημα ευθύνης, καθημερινά δίνουμε τον καλύτερο εαυτό μας, για να μπορέσουμε να κάνουμε τη ζωή των ασθενών μας πιο ποιοτική και κυρίως ελπιδοφόρα!

Εφημερίες

  • Η Νευροχειρουργική κλινική εφημερεύει καθημερινά 08.00 με 14.30 (εκτός από την επόμενη γενικής εφημερίας) ενώ κάθε τέσσερις ημέρες έχει γενική εφημερία.
  • Λειτουργούν τακτικά εξωτερικά νευροχειρουργικά ιατρεία κάθε Τρίτη και  Πέμπτη 11.30 με 14.00 τηλ.: 1535
  • Λειτουργούν απογευματινά εξωτερικά Ιατρεία με ραντεβού τηλ.: 213 2033600

Επικοινωνία

  • Νευροχειρουργική Κλινική
    ΓΝΑ Γ. Γεννηματάς

  • Λεωφόρος Μεσογείων 154
    Χολαργός
    ΤΚ 11527

  • +30 213 2032364

  • nevroxeirourgiki_clinic@gna-gennimatas.gr

Στο χάρτη

Powered by: PowerSite.gr

© 2026 Νευροχειρουργική Κλινική ΓΝΑ «Γ. Γεννηματάς»