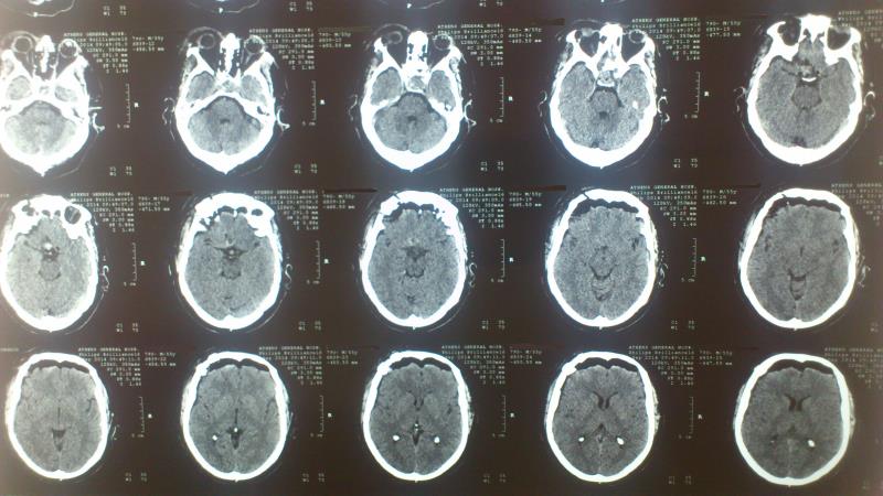
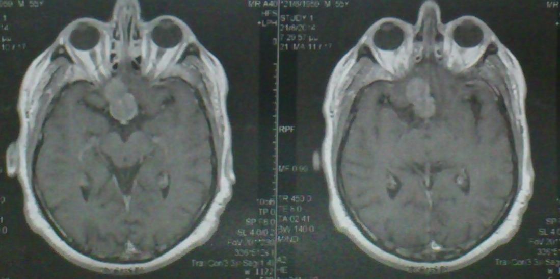
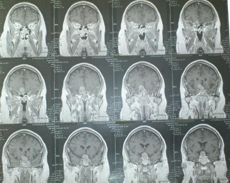
Ασθενής   55 ετών  ο οποίος είχε υποβληθεί  προ 3μήνου σε ενδοσκοπική διασφηνοειδική αφαίρεση μακροαδενώματος υπόφυσης  ( αδύνατη λόγω σκληρής σύστασης του όγκου η αφαίρεση του υπερεφιππιακού τμήματος του όγκου) προσήλθε στην κλινική μας  με σκοπό την αφαίρεση  του υπερεφιππιακού τμήματος του όγκου  δια υπερόφρυας τομής δέρματος και δεξιάς mini orbitozygomatic keyhole approach.  Η μετεγχειρητική του πορεία ήταν ομαλή με περαιτέρω βελτίωση των οπτικών του πεδίων ( αρχική μικρή  βελτίωση μετά την ενδοσκοπική διασφηνοειδική προσπέλαση ) και ο απεικονιστικός έλεγχος ανέδειξε την πλήρη αφαίρεση του υπολειμματικού όγκου.

Περιγραφή video:

  1. Ήπια έλξη του δεξιού μετωπιαίου λοβού , διάνοιξη  οπτικοκαρωτιδικής δεξαμενής, έξοδος ΕΝΥ και βελτίωση διεγχειρητικών συνθηκών.
  2. Dissection επί τα έκτος της έσω καρωτίδος και αναγνώριση – ανάδειξη του κοινού κινητικού νεύρου (carotidooculomotor triangle).
  3. Αναγνώριση της κάψας του όγκου επί τα έσω του δεξιού οπτικού νεύρου στο interoptic space.
  4. CUSA και debulking του όγκου. Παρασκευή του αραχνοειδούς πλάνου του όγκου.
  5. Ανάγνώριση αριστερής Α1 και εντυπώματος ( indentation)  που προκαλεί στο αριστερό οπτικό νεύρο.
  6. Αφαίρεση του όγκου και αναγνώριση αριστερής έσω καρωτίδας και του υπερκείμενου αριστερού οπτικού νεύρου.

Προεγχειρητικός απεικονιστικός έλεγχος

Μετεγχειρητικός απεικονιστικός έλεγχος

Όλες οι παθήσεις
Χειρουργικά Πεπραγμένα 2024
Περισσότερα +

Χειρουργικά Πεπραγμένα 2024

13/1/2025

Το έτος 2024 πραγματοποιήθηκαν στην κλινική μας 1276&nb...

Νευροχειρουργική Κλινική ΓΝΑ Γ. Γεννηματάς

Όλοι εμείς, ιατροί, νοσηλευτές και βοηθητικό προσωπικό, με ιδιαίτερο αίσθημα ευθύνης, καθημερινά δίνουμε τον καλύτερο εαυτό μας, για να μπορέσουμε να κάνουμε τη ζωή των ασθενών μας πιο ποιοτική και κυρίως ελπιδοφόρα!

Εφημερίες

  • Η Νευροχειρουργική κλινική εφημερεύει καθημερινά 08.00 με 14.30 (εκτός από την επόμενη γενικής εφημερίας) ενώ κάθε τέσσερις ημέρες έχει γενική εφημερία.
  • Λειτουργούν τακτικά εξωτερικά νευροχειρουργικά ιατρεία κάθε Τρίτη και  Πέμπτη 11.30 με 14.00 τηλ.: 1535
  • Λειτουργούν απογευματινά εξωτερικά Ιατρεία με ραντεβού τηλ.: 213 2033600

Επικοινωνία

  • Νευροχειρουργική Κλινική
    ΓΝΑ Γ. Γεννηματάς

  • Λεωφόρος Μεσογείων 154
    Χολαργός
    ΤΚ 11527

  • +30 213 2032364

  • nevroxeirourgiki_clinic@gna-gennimatas.gr

Στο χάρτη

Powered by: PowerSite.gr

© 2026 Νευροχειρουργική Κλινική ΓΝΑ «Γ. Γεννηματάς»