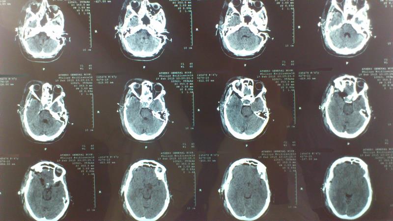
Ασθενής γυναίκα 47 ετών προσήλθε λόγω 2ης υποτροπής μακροαδενώματος υπόφυσης για το οποίο είχε υποβληθεί σε συνολικά 3  διασφηνοειδικές προσπελάσεις . Αποφασίστηκε η αντιμετώπιση του υπερεφιππιακού υπολείμματος του αδενώματος με δεξιά πτεριονικής κρανιοτομία. Η μετεγχειρητική της πορεία ήταν ομαλή παρουσιάζοντας βελτίωση της προεγχειρητικής αμφικροταφικής ημιανοψίας.

Προεγχειρητικός απεικονιστικός έλεγχος

Μετεγχειρητικός απεικονιστικός έλεγχος

Όλες οι παθήσεις
Χειρουργικά Πεπραγμένα 2024
Περισσότερα +

Χειρουργικά Πεπραγμένα 2024

13/1/2025

Το έτος 2024 πραγματοποιήθηκαν στην κλινική μας 1276&nb...

Νευροχειρουργική Κλινική ΓΝΑ Γ. Γεννηματάς

Όλοι εμείς, ιατροί, νοσηλευτές και βοηθητικό προσωπικό, με ιδιαίτερο αίσθημα ευθύνης, καθημερινά δίνουμε τον καλύτερο εαυτό μας, για να μπορέσουμε να κάνουμε τη ζωή των ασθενών μας πιο ποιοτική και κυρίως ελπιδοφόρα!

Εφημερίες

  • Η Νευροχειρουργική κλινική εφημερεύει καθημερινά 08.00 με 14.30 (εκτός από την επόμενη γενικής εφημερίας) ενώ κάθε τέσσερις ημέρες έχει γενική εφημερία.
  • Λειτουργούν τακτικά εξωτερικά νευροχειρουργικά ιατρεία κάθε Τρίτη και  Πέμπτη 11.30 με 14.00 τηλ.: 1535
  • Λειτουργούν απογευματινά εξωτερικά Ιατρεία με ραντεβού τηλ.: 213 2033600

Επικοινωνία

  • Νευροχειρουργική Κλινική
    ΓΝΑ Γ. Γεννηματάς

  • Λεωφόρος Μεσογείων 154
    Χολαργός
    ΤΚ 11527

  • +30 213 2032364

  • nevroxeirourgiki_clinic@gna-gennimatas.gr

Στο χάρτη

Powered by: PowerSite.gr

© 2026 Νευροχειρουργική Κλινική ΓΝΑ «Γ. Γεννηματάς»