Οι όγκοι της επίφυσης αποτελούν μία χειρουργική πρόκληση, με πολλές προσπελάσεις να έχουν περιγραφεί. Η πλάγια υπερπαρεγκεφαλιδική υποσκηνίδια προσπέλαση θεωρείται ασφαλής. Ο συνδυασμός με το ενδοσκόπιο βελτιώνει τα αποτελέσματα της  τεχνικής σε επιλεγμένους ασθενείς.

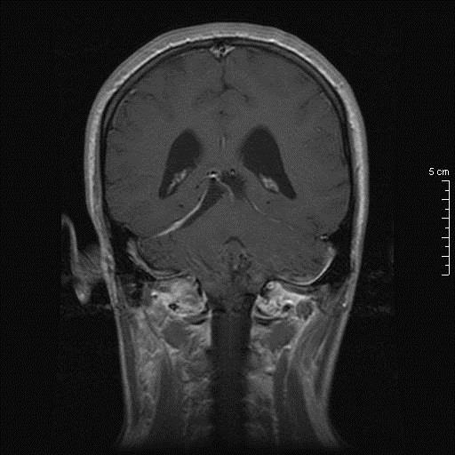
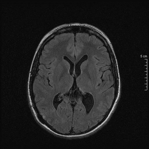
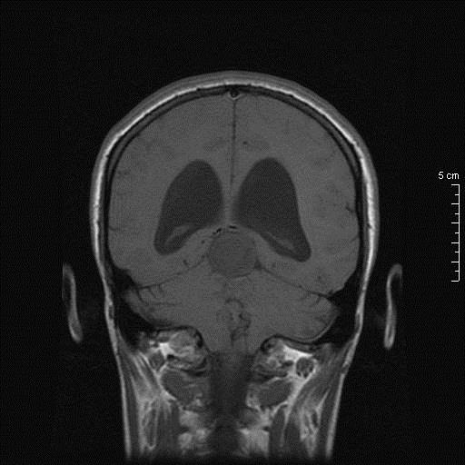
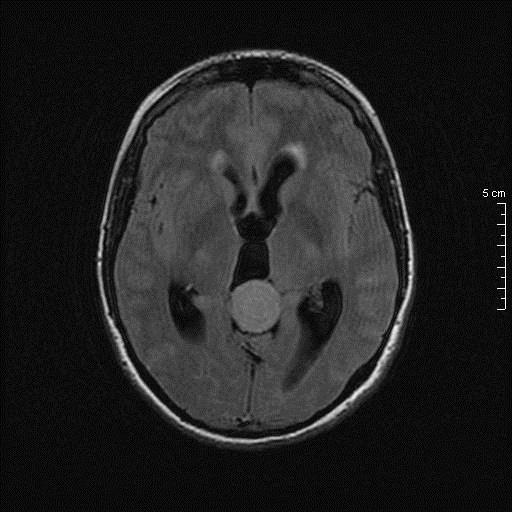
Γυναίκα 34 ετών παρουσιάστηκε με κεφαλαλγία, περιστασιακά διπλωπία και στην εξέταση οίδημα οπτικών θηλών. Η μαγνητική τομογραφία κατέδειξε βλάβη διαμέτρου 26.7 χιλ στην περιοχή της επίφυσης χωρίς ενίσχυση, με πίεση επί του τετραδύμου και σημαντική διάταση του κοιλιακού συστήματος. Σε θέση park bench υποβλήθηκε σε δεξιά πλάγια περιορισμένη ινιακή κρανιοτομία και μέσω της υποσκηνίδιας υπερπαρεγκεφαλιδικής οδού σε ενδοσκοπικά υποβοηθούμενη μακροσκοπικά πλήρη αφαίρεση της βλάβης.

Η διεγχειρητική νευροπλοήγηση διευκόλυνε τους αρχικούς χειρισμούς μέσω του περιορισμένου χειρουργικού διαδρόμου. Η χρήση του ενδοσκοπίου με τον άριστο φωτισμό και μεγέθυνση βοήθησε στην πλήρη αφαίρεση του όγκου χωρίς βλάβη σε κρίσιμες νευραγγειακές δομές της περιοχής.

Η ασθενής κινητοποιήθηκε πλήρως την πρώτη μετεγχειρητική ημέρα χωρίς νέο εστιακό νευρολογικό έλλειμμα και έλαβε εξιτήριο την επομένη.

Προεγχειρητικός απεικονιστικός έλεγχος

Μετεγχειρητικός απεικονιστικός έλεγχος

Όλες οι παθήσεις
Χειρουργικά Πεπραγμένα 2024
Περισσότερα +

Χειρουργικά Πεπραγμένα 2024

13/1/2025

Το έτος 2024 πραγματοποιήθηκαν στην κλινική μας 1276&nb...

Νευροχειρουργική Κλινική ΓΝΑ Γ. Γεννηματάς

Όλοι εμείς, ιατροί, νοσηλευτές και βοηθητικό προσωπικό, με ιδιαίτερο αίσθημα ευθύνης, καθημερινά δίνουμε τον καλύτερο εαυτό μας, για να μπορέσουμε να κάνουμε τη ζωή των ασθενών μας πιο ποιοτική και κυρίως ελπιδοφόρα!

Εφημερίες

  • Η Νευροχειρουργική κλινική εφημερεύει καθημερινά 08.00 με 14.30 (εκτός από την επόμενη γενικής εφημερίας) ενώ κάθε τέσσερις ημέρες έχει γενική εφημερία.
  • Λειτουργούν τακτικά εξωτερικά νευροχειρουργικά ιατρεία κάθε Τρίτη και  Πέμπτη 11.30 με 14.00 τηλ.: 1535
  • Λειτουργούν απογευματινά εξωτερικά Ιατρεία με ραντεβού τηλ.: 213 2033600

Επικοινωνία

  • Νευροχειρουργική Κλινική
    ΓΝΑ Γ. Γεννηματάς

  • Λεωφόρος Μεσογείων 154
    Χολαργός
    ΤΚ 11527

  • +30 213 2032364

  • nevroxeirourgiki_clinic@gna-gennimatas.gr

Στο χάρτη

Powered by: PowerSite.gr

© 2026 Νευροχειρουργική Κλινική ΓΝΑ «Γ. Γεννηματάς»